Leia a última edição
--°C | Apucarana
Euro
--
Dólar
--

Cotidiano

publicidade
REINO UNIDO

Tumor no pulmão de mulher reduz 76% após uso de canabidiol

Mulher descobriu o câncer em junho de 2018, depois de passar meses tossindo

Compartilhar no Facebook Compartilhar no Twitter Compartilhar no WhatsApp Compartilhar no Telegram
Siga-nos Seguir no Google News
Grupos do WhatsApp

Receba notícias no seu Whatsapp Participe dos grupos do TNOnline

Tumor no pulmão de mulher reduz 76% após uso de canabidiol
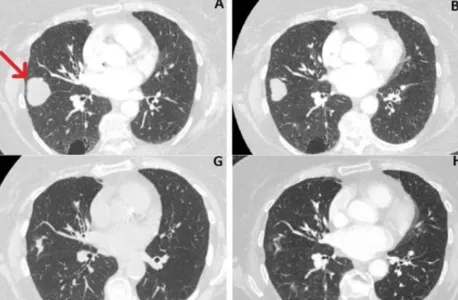
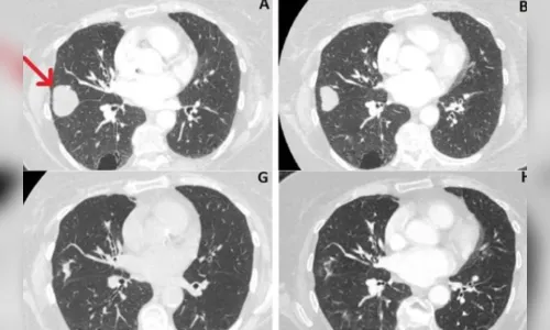
Autor Imagens do exame mostram que tumor diminuiu de cerca de 41 mm para 10 mm - Foto: Metrópoles

O tumor no pulmão de uma idosa, de 80 anos, moradora do Reino Unido, diagnosticada com câncer, reduziu em 76% em menos de três anos ao fazer um tratamento alternativo com óleo de canabidiol (CBD), substância extraída da Cannabis sativa. O caso foi documentado em um artigo publicado na plataforma BMJ Case Reports.

A mulher foi tratada no Mid and South Essex NHS Foundation Trust e fumava cerca de um maço de cigarros por semana. Ela descobriu o câncer em junho de 2018, depois de passar meses tossindo.

CONTINUA DEPOIS DA PUBLICIDADE
Associe sua marca ao jornalismo sério e de credibilidade, anuncie no TNOnline.

A paciente evitou os tratamentos convencionais – com cirurgia, quimioterapia e radioterapia – por ter medo dos efeitos colaterais e, por decisão própria, passou a tomar 0,5 ml do óleo de canabidiol de duas a três vezes por dia. Além do óleo, ela seguiu tomando medicamentos para doença pulmonar obstrutiva crônica leve (DPOC), osteoartrite e hipertensão.

Imagens de exames mostram que o tamanho do tumor diminuiu de 41 mm, em junho de 2018, para 10mm, em março de 2021. Ou seja, uma redução de cerca de 76%.

Causa e efeito

CONTINUA DEPOIS DA PUBLICIDADE

Os médicos que trataram a paciente afirmaram não estar claro que o óleo foi o responsável pela melhora do quadro e que não existem evidências robustas de que produtos feitos à base de maconha podem alterar a progressão de um tumor.

No entanto, eles sugerem que novas pesquisas sejam feitas para esclarecer se produtos derivados da planta podem contribuir para o tratamento de câncer.

Gostou da matéria? Compartilhe!

Compartilhar no Facebook Compartilhar no Twitter Compartilhar no WhatsApp Compartilhar no Email

Últimas em Cotidiano

publicidade

Mais lidas no TNOnline

publicidade

Últimas do TNOnline