Homem vai tratar dor no dedão do pé e descobre tumor em fase terminal
"Meu conselho é que ninguém desista de buscar o diagnóstico se algo te incomoda", disse o norte-americano

Depois de sentir dor no dedão do pé por 5 anos, o norte-americano Richard Bernstein, de 42 anos, decidiu realizar mais uma consulta a fim de apurar a causa do problema, porém, durante o procedimento, descobriu que estava com um tumor em fase terminal.
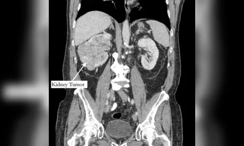
De acordo com as informações do jornal "New York Post", o aposentado sempre achou que sua dor era por conta de uma fratura, mas, no fim, soube que se tratava de um tumor no rim e de um trombo tumoral, um tumor que se estende até um vaso sanguíneo.
Até descobrir qual era o motivo de suas dores, Richard visitou podólogos e fisioterapeutas, mas nenhum desses especialistas encontraram a causa. Então, o homem foi a um especialista de medicina esportiva, que suspeitou de estenose espinhal, que pode pressionar os nervos da coluna vertebral.
Porém, os sintomas começara a aumentar. A dor subiu para o tornozelo e, em março deste ano, sua perna começou a inchar. Foi só aí que um médico pediu um exame abdominal, que revelou o tumor.
O exame, encaminhado a um urologista, identificou ainda um trombo (coágulo no sangue) que cresceu através da veia renal e preenchia a veia cava, que drena sangue para o coração, e tinha 99% das artérias da coronária bloqueadas, além do fígado quase entrando em falência.
"Ele (o médico) me disse que eu tinha quatro dias de vida", relatou Bernstein ao "New York Post".
Segundo o diretor de urologia do Hospital Phelps, no estado de Nova York, Michael Grosso, o bloqueio de veias por conta do tumor e do trombo era o que explicava a dor no pé do aposentado, já que os sintomas de câncer no fígado costumam surgir já em uma fase avançada do tumor.
O paciente passou então por uma cirurgia de urgência para remover o tumor. Após 12 horas de uma cirurgia complexa e casada entre médicos de diferentes especialidades, o tumor e o trombo foram retirados e uma ponte de safena foi realizada.
Com o tumor retirado, os médicos descartaram, por enquanto, a necessidade de quimioterapia em Bernstein, que já anda sozinho e está se recuperando da cirurgia.
"Meu conselho é que ninguém desista de buscar o diagnóstico se algo te incomoda", afirmou.
Com informações do g1.
