Leia a última edição
--°C | Apucarana
Euro
--
Dólar
--

Cotidiano

publicidade
INUSITADO

Homem passa 2 anos fazendo cocô pelo pênis; entenda

um homem passou a sofrer uma série de complicações envolvendo o pênis

Compartilhar no Facebook Compartilhar no Twitter Compartilhar no WhatsApp Compartilhar no Telegram
Siga-nos Seguir no Google News
Grupos do WhatsApp

Receba notícias no seu Whatsapp Participe dos grupos do TNOnline

Homem passa 2 anos fazendo cocô pelo pênis; entenda
Autor Foto: Reprodução

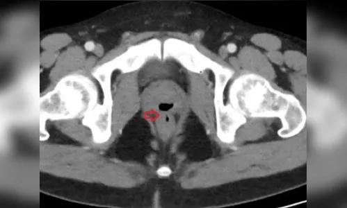
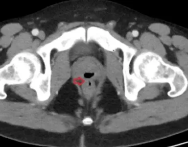
Após ficar em coma durante três semanas depois de uma intoxicação causada por cocaína e fenciclidina (PCP), um homem passou a sofrer uma série de complicações envolvendo o pênis e o ânus. De acordo com o jornal Daily Star, ele chegou a fazer cocô pelo órgão genital e ejaculou pelo reto.

O homem de 33 anos sofreu com as complicações por dois anos, até que seus testículos começaram a inchar e ele procurou um médico devido à dor excruciante.

CONTINUA DEPOIS DA PUBLICIDADE
Associe sua marca ao jornalismo sério e de credibilidade, anuncie no TNOnline.

Conforme a publicação, ele expelia gases na urina, uma condição chamada pneumatúria. O paciente também urinou material fecal, denominado fecalúria. Pelo ânus, expeliu “quantidade substancial” de sêmen.

Ao ser submetido a um exame de toque retal, o homem descobriu que tinha sinais de problema na parede retal. Quanto ao pênis, ele possuía uma infecção do trato urinário.

Outros exames identificaram fústula — uma passagem anormal — entre a uretra e o reto, por onde fluidos corriam. O homem foi submetido a uma cirurgia. Os médicos descobriram, também, que, quando esteve em coma, o paciente recebeu um cateter que poderia ter causado as complicações. O caso foi registrado na revista científica Cureus.

CONTINUA DEPOIS DA PUBLICIDADE

Com informações, Metrópoles

Gostou da matéria? Compartilhe!

Compartilhar no Facebook Compartilhar no Twitter Compartilhar no WhatsApp Compartilhar no Email

Últimas em Cotidiano

publicidade

Mais lidas no TNOnline

publicidade

Últimas do TNOnline