Leia a última edição
--°C | Apucarana
Euro
--
Dólar
--

Cotidiano

publicidade
SAÚDE

EUA registram primeiros casos de varíola do macaco em crianças

Autoridades estão apurando como a contaminação ocorreu

Compartilhar no Facebook Compartilhar no Twitter Compartilhar no WhatsApp Compartilhar no Telegram
Siga-nos Seguir no Google News
Grupos do WhatsApp

Receba notícias no seu Whatsapp Participe dos grupos do TNOnline

EUA registram primeiros casos de varíola do macaco em crianças
Autor São duas crianças infectadas, sendo que uma delas ainda é uma criança de colo - Foto: Pixabay

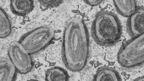
Os Estados Unidos registraram os primeiros casos de varíola dos macacos em crianças. A informação foi dada pela diretora do Centro para Controle e Prevenção de Doenças (CDC), Rochelle Walensky, em entrevista ao jornal Washington Post, na sexta-feira (22). São duas crianças infectadas, sendo que uma delas ainda é uma criança de colo, em casos não relacionados.

Segundo o CDC, a contaminação ocorreu dentro de casa, mas as autoridades ainda estão apurando como isso ocorreu. Uma das crianças não mora nos Estados Unidos. Ela e os pais estavam em viagem pela capital Washington. Já a criança de colo mora na Califórnia. As crianças, acrescentou a diretora do CDC ao Washington Post, passam bem e estão sendo submetidas ao tratamento antiviral.

CONTINUA DEPOIS DA PUBLICIDADE
Associe sua marca ao jornalismo sério e de credibilidade, anuncie no TNOnline.

Nos dois casos, relatou Rochelle, as crianças tiveram contato com homens da comunidade gay. Esse grupo é o mais afetado pela varíola dos macacos e a maior causa de preocupação das organizações de saúde. Inclusive, uma das preocupações da Organização Mundial de Saúde (OMS) é com o estigma que a doença pode provocar em homossexuais do sexo masculino. A entidade, inclusive, já tem pedido ajuda de organizações da sociedade civil, incluindo aquelas com experiência no trabalho com pessoas HIV positivo, para combater a discriminação.

No sábado (23), o diretor-geral da OMS, Tedros Adhanom, declarou que a varíola dos macacos configura emergência de saúde pública de interesse internacional. Ainda que tenha sido uma decisão unânime dentro do comitê de emergência da OMS, o diretor-geral entendeu que já existem elementos suficientes para enquadrar a varíola dos macacos nessa categoria.

Agência Brasil.

CONTINUA DEPOIS DA PUBLICIDADE

Gostou da matéria? Compartilhe!

Compartilhar no Facebook Compartilhar no Twitter Compartilhar no WhatsApp Compartilhar no Email

Últimas em Cotidiano

publicidade

Mais lidas no TNOnline

publicidade

Últimas do TNOnline